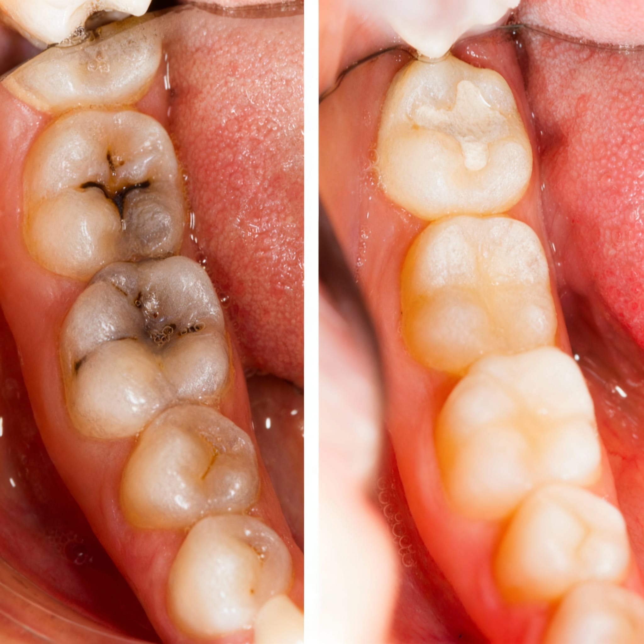
What Are Composite Fillings?
Composite fillings (also called white or tooth-colored fillings) are made from resin and glass particles, custom-matched to your natural tooth shade.
They bond directly to your tooth structure, allowing more conservative preparations and more seamless results.
Why Choose Composite Fillings?
Composite restorations offer many advantages:
- Aesthetic Appeal: Blends with your natural teeth for a subtle, seamless look.
- Bonds to Tooth Structure: Provides additional support by adhering to enamel and dentin.
- Conservative Preparation: Less healthy tooth removal than with some metal fillings.
- Reduced Sensitivity: Resin material helps insulate against temperature changes.
- Repairable: Minor chips or wear can often be fixed without full replacement.


Our Composite Filling Process
Here is what you can expect when receiving a composite filling with Dr. Nguyen:
- Consultation & Shade Matching: We pick a composite shade that matches your natural tooth.
- Decay Removal & Tooth Prep: We remove decay and gently prepare the area while preserving healthy enamel.
- Etching & Bonding: A bonding agent is applied to create micro-mechanical adhesion with the composite.
- Layered Composite Application: Resin is placed in thin layers, then cured (hardened) under a specialized light.
- Shaping & Polishing: We refine the contour, polish, and check your bite for comfort.



Longevity, Limitations & Maintenance
Composite fillings are durable, but their lifespan depends on use, location, and care.
In high-stress biting areas, they may wear faster than metal alternatives.
Regular checkups, avoiding bad habits (chewing ice, biting hard objects), and maintaining good oral hygiene help them last longer.
If small issues arise—like minor wear or discoloration—they can often be repaired without full replacement.


Why Choose Acorn Family Dental Care
We believe that every smile tells a story.
We shine. With expert dentists, modern technology, and a gentle approach, we deliver care that’s as comfortable as it is effective. From routine check-ups to advanced treatments, we put your needs first, ensuring you feel confident every step of the way.
Deserves the best care possible.
Experienced Dental Professionals.
Modern Technology.
Comfort & Pain-Free Care.
Emergency Support.
Clean & Hygienic Environment.
Skilled & Caring Dentists.

Book your dental appointment in Berkeley, CA, and discover why patients trust us for lasting, confident smiles.
Call us at
+1 510-848-011498%
Our Patient Care Retention Rate.








